Dr. Kevin Kim, DDS - Dental Implants in Lakewood, WA
Helping You Smile Again with Confidence!
Trusted Dental Implant Expert in Pierce County, Washington
Dr. Kevin Kim, DDS - Dental Implants in Lakewood, WA
Helping You Smile Again with Confidence!
Trusted Dental Implant Expert in Pierce County, Washington
Dr. Kevin Kim, DDS | Lakewood Dental Implants
Tooth damage and tooth loss are common concerns for many people in Lakewood. Whether it happens while enjoying a meal at Lakewood Towne Center or during a local game at Clover Park, a missing tooth can affect the way you eat, speak, and smile.
Whether you’re exploring your first dental implant or need expert care for a complex case, Dr. Kevin Kim, DDS, offers personalized care with the skill and precision you deserve. From single-tooth implants to full-mouth restorations like All-on-X, implant repairs, and long term maintenance, Dr. Kim provides a full range of implant services tailored to your needs.

OUR SERVICES

Dentist
Being a Dentist in Lakewood, WA is about more than just filling cavities. It is about helping our neighbors from Lake City to Ponders Corner feel confident again. We offer everything from basic checkups to complex repairs. We use the latest tools like Intraoral Digital Scanning so you don't have to bite into that gross, cold goop for impressions. If you want to see what your new smile could look like, we even use Digital Smile Design to show you the future before we even start.

Oral Surgeon
Sometimes a tooth is too far gone or an accident happens near American Lake that requires a specialist. As a local Oral Surgeon team, we handle the tough stuff right here. We do Dental Implants for Trauma or Accident Cases for when life hits you hard. We also provide Failed Implant Removal and Dental Implant Replacement if you had work done elsewhere that didn't quite take. Our goal is to fix the problem fast so you can get back to your life.

Dental Clinic
Our Dental Clinic is built on making you feel relaxed. We use high-tech stuff like CBCT 3D Imaging for Implants to see your jaw in 3D. This helps with Computer-Guided Implant Surgery and Dynamic Navigation Implant Surgery, which are like GPS for your mouth. It makes the whole process way more precise and helps you heal faster. We also use Virtual Surgical Guides so there are no surprises on the day of your visit.

Denture Care Center
If you are tired of your teeth floating around while you talk, our Denture Care Center has the fix. We help people move away from "sticky glue" and move toward Implant-Supported Dentures or Implant-Retained Overdentures. These snap onto posts so they stay put. For a really natural feel, Hybrid Implant Dentures are bolted in so you never take them out. We even handle Implant Prosthetic Cleaning to keep them looking shiny and new.

Emergency Dental Services
Last winter, a teacher from the Clover Park area called us because their tooth cracked on a piece of ice. That is why we offer Emergency Dental Services for those "oh no" moments. We do Emergency Implant Evaluations and Management of Implant Infection if things get red or swollen. If you are dealing with Peri-Implantitis Treatment or Peri-Implant Mucositis Treatment, we jump in fast to save your smile. We also do Implant Stability Assessments to make sure everything is still rock solid.

Dental Implants Periodontist
When you need a Dental Implants Periodontist, you are looking for a gum and bone expert. We focus on the foundation. We start with Dental Implant Consultations and deep Implant Treatment Planning. Whether you need Single Tooth Dental Implants, Multiple Tooth Dental Implants, or Full Mouth Dental Implants, we make sure the bone is ready. We specialize in Implants for Edentulous Patients (people with no teeth) and Implants for Medically Compromised Patients who might have health issues like diabetes. We also do a lot of Geriatric Dental Implants for our senior neighbors.
Rebuilding Your Foundation with Bone Grafting
If you have been missing a tooth for a long time, the bone can get thin. We offer many ways to fix this:
- Bone Grafting for Dental Implants: Adding new bone so the implant has a place to live.
- Socket Preservation: Putting bone in right after a pull so the hole doesn’t collapse.
- Ridge Preservation & Augmentation: Keeping your jaw shape looking healthy.
- Horizontal Bone Augmentation & Vertical Bone Augmentation: Making bone wider or taller.
- Ridge Split with Implant Placement: A clever way to widen bone and put the tooth in at once.
- Autogenous Bone Grafting: Using your own bone for the best healing.
- Allograft & Xenograft Bone Grafting: Using safe, lab-tested materials.
- Platelet-Rich Fibrin (PRF) Therapy: Using your own blood cells to speed up healing.
Sinus Lift Surgery for Upper Teeth
If you need back teeth on top, we might need to do Sinus Lift Surgery. We offer Open Sinus Lift and Closed Sinus Lift depending on how much room you need. Sometimes we can do Simultaneous Sinus Lift & Implant Placement to save you a trip, or a Staged Sinus Lift if you need extra time to get strong.
Creating Your New Teeth
Once the foundation is set with Dental Implant Placement, we focus on the part people see:
- CAD/CAM Implant Restorations: High-tech teeth made by computers.
- Custom Implant Crowns: Teeth that match your others perfectly.
- Zirconia Implant Crowns: Super strong white teeth that won’t break.
- Porcelain Implant Crowns: The most natural looking option.
- Gold Implant Crowns: Durable and classic for back teeth.
- Screw-Retained Implant Crowns & Cement-Retained Implant Crowns: Different ways to keep the tooth attached.
- Custom Implant Abutments: The connector piece made just for your gum line.
- Implant-Supported Fixed Bridges: For getting a few teeth back in a row.
- Occlusal Adjustments for Implant Prostheses: Fine-tuning your bite so it feels natural.

Advanced Implant Solutions
Dr. Kevin Kim’s Expertise Makes the Difference.
We know every mouth is different. We offer Immediate Load (Same-Day) Dental Implants so you don’t leave with a gap. We do All-on-4® Dental Implants and All-on-6 Dental Implants for full smiles. If you have been told you don’t have enough bone, ask about Zygomatic Dental Implants or Pterygoid Implants. We also use Traditional Two-Stage Implant Surgery or Single-Stage Implant Surgery based on what is best for you. Whether it is Immediate Post-Extraction Implant Placement or Delayed Implant Placement, we have a plan. We even help with Implant Retreatment and Implant Failure Management if you are having trouble.
YOUR SMILE, YOUR STORY
Every implant case is more than just replacing teeth. It’s about giving you back your favorite foods, your laugh, and your confidence in pictures.
Some Lakewood patients come to us after hiding their smile for years. Others just want something stronger and easier to maintain than dentures. No matter your reason, Dr. Kim helps you find the right plan for your goals and budget.
We handle everything — from the first scan to the final restoration — right here in our Lakewood office. You’ll never be shuffled between clinics or specialists.
Frequently Asked Questions
How long do dental implants last?
With good care, most implants last 20 years or more — many last a lifetime.
Does it hurt to get an implant?
Most patients say it’s easier than getting a tooth pulled. Dr. Kim uses gentle techniques and local numbing for comfort.
How soon can I eat after surgery?
Usually soft foods right away, then back to normal meals within a few days.
Are dental implants expensive?
They’re an investment, but one that pays off long-term. We offer flexible payment plans to make treatment affordable for everyone.

READY TO START YOUR IMPLANT JOURNEY?
Dr. Kevin Kim DDS isn’t just a dental office — it’s part of Lakewood’s community. We sponsor local school sports, help with community health events, and volunteer in dental outreach programs each year.
Many of our patients are teachers, military families, and longtime residents. We’re proud to serve the people who make Lakewood feel like home.
Getting dental implants can change your life. You’ll chew better, smile bigger, and feel more confident every day.
Call Dr. Kevin Kim DDS today or stop by our office near Lakewood Towne Center to schedule your dental implant consultation in Lakewood WA. We’re proud to serve patients from Tillicum, Clover Park, Steilacoom, and all across Pierce County.
Your new smile is waiting — let’s make it happen together.
Our patients love us








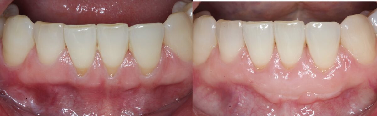
Smile Gallery



SCHEDULE YOUR IMPLANT APPOINTMENT
Whether you’re missing one tooth or need a full arch of new teeth, Dr. Kevin Kim DDS is here to help.
📍 Located near Lakewood Towne Center — easy parking and same-day emergency options available.
📞 Call us today or request your visit online to schedule your dental implant consultation in Lakewood, WA.
We’ll take the time to listen, answer your questions, and help you start your journey toward a confident, healthy smile that truly feels like you again.
Get in Touch for Your Dental Implant Consultation
Dr. Kevin Kim, DDS
6001 100th St SW
Lakewood, WA 98499
(253) 398-9122